Dấu hiệu cho thấy cơ thể bạn đang thiếu vitamin
Thiếu dinh dưỡng ảnh hưởng khác nhau tùy độ tuổi, tình trạng sức khỏe. Trẻ [...]
Apr
Viêm não mô cầu: Đã có vắc xin nghiên cứu lâm sàng tại Việt Nam
Trong hội thảo khoa học diễn ra vào trung tuần tháng 3 tại Hà Nội, [...]
Apr
Loét gót chân kéo dài, bệnh nhân suýt phải cưa chân
Ngày 8.4, theo thông tin từ Bệnh viện đa khoa thành phố Cần Thơ, các [...]
Apr
Chính phủ chính thức tạm ngưng hiệu lực thi hành Nghị định 46 về an toàn thực phẩm
Cụ thể, Chính phủ quyết nghị tạm ngưng hiệu lực áp dụng Nghị định 46 [...]
Apr
Khối u 10 kg như ‘hồ máu’ trên lưng bệnh nhân 49 kg mắc bệnh hiếm
Ngày 8.4, theo thông tin từ Bệnh viện Ung bướu Cần Thơ, các bác sĩ [...]
Apr
TPHCM: Tất cả người dân sẽ có “hộ chiếu sức khỏe suốt đời”
Mục tiêu 100% người dân TPHCM có “hộ chiếu sức khỏe” năm 2030 Tại hoạt [...]
Apr
TP.HCM đề xuất bỏ ranh giới hành chính khi người dân đi khám sức khỏe miễn phí
Ngày 8-4, Thành ủy TP.HCM đã tổ chức Hội thảo góp ý Đề án tổ [...]
Apr
Chủ quan đau bụng kéo dài, người phụ nữ phát hiện khối u buồng trứng 14 cm
Ngày 8.4, Bệnh viện Việt – Hàn Đà Nẵng (xã Núi Thành, thành phố Đà [...]
Apr
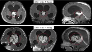
TPHCM: Cấp cứu cháu bé có khối u não to gấp ba lần chỉ trong 3 tháng
Ngày 8/4, đại diện Bệnh viện Nhi đồng 1 (TPHCM) cho biết, vừa qua các [...]
Apr
Mỗi người dân TP HCM sẽ có một ‘hộ chiếu sức khỏe’
Bác sĩ Nguyễn Văn Vĩnh Châu, Phó giám đốc Sở Y tế TP HCM, chia [...]
Apr
Nắng nóng 42 độ C: WHO hướng dẫn cách làm mát, giảm tiền điện
Căng thẳng do nắng nóng kéo dài là nguyên nhân hàng đầu gây tử vong [...]
Apr
Đề cử: Đơn nguyên Rối loạn vận động – Đồng hành cùng người bệnh Parkinson
Đơn nguyên Rối loạn vận động – Đồng hành cùng người bệnh Parkinson Tin Gốc: [...]
Apr
Tưởng loét miệng, phát hiện ung thư má
Ngày 7/4, BS.CK2 Nguyễn Minh Tiến, Bệnh viện Nguyễn Trãi, cho biết bệnh nhân vào [...]
Apr
Cô gái 19 tuổi người Anh hiến tạng cứu 3 người Việt
Đầu tháng 4 vừa qua, trong chuyến du lịch đến Việt Nam, cô gái người [...]
Apr
Câu chuyện cô gái người Anh hiến tạng tại Việt Nam: Tri ân nghĩa cử cao đẹp ‘không biên giới’
Buổi lễ có sự tham dự của Đại sứ Vương quốc Anh tại Việt Nam [...]
Apr
Món tráng miệng Nữ hoàng Anh yêu thích gây ‘bão’ mạng
Ngày 7/4, Darren McGrady, cựu đầu bếp riêng 15 năm của Nữ hoàng Anh, chia [...]
Apr
Bí quyết giảm 5 kg và trẻ hóa cơ thể của người Nhật
Được mệnh danh là “vận động hồi xuân cho nửa thân dưới”, bài tập này [...]
Apr
Cô gái Anh chết não hiến tạng cứu sống 3 người Việt
“Việt Nam là nơi con gái tôi đã dành những ngày tháng cuối cùng với [...]
Apr
Đánh răng kiểu này có thể cứu quả thận của bạn
Đặc biệt, nghiên cứu mới được công bố trên tạp chí khoa học BMC Nephrology [...]
Apr
‘Thủ phạm thầm lặng’ làm tăng gấp 5 lần nguy cơ đột quỵ
Hưởng ứng Ngày Sức khỏe toàn dân 7-4, Bệnh viện Đa khoa Sơn Uyên (Bắc [...]
Apr
Nắng nóng gay gắt ở Quảng Trị, bác sĩ khuyến cáo điều gì để phòng tránh?
Theo Trung tâm Dự báo khí tượng thủy văn quốc gia, trong 10 ngày tới [...]
Apr
Hành trình bóc tách 12 khối u xơ tử cung ‘ẩn mình’ tại Bệnh viện Phương Nam
U xơ tử cung là bệnh lý phụ khoa khá phổ biến, có thể xuất [...]
Apr
Xúc động câu chuyện cô gái người Anh nối dài nhiều sự sống
Không chỉ sống trong ký ức người thân, cô O.S.W. (19 tuổi, quốc tịch Anh) [...]
Apr
Hiểm họa liệt toàn thân từ trào lưu ‘treo cổ’ chữa bệnh
Một trào lưu mới mang tên “bài tập treo cổ” nhằm mô phỏng liệu pháp [...]
Apr
Vì sao tập thể dục nhiều mà đường huyết không giảm?
Đây không phải là điều bất thường mà thường là dấu hiệu cho thấy cách [...]
Apr
Lá mơ lông với trứng gà: Bác sĩ chỉ cách dùng hỗ trợ đại tràng, tiêu chảy
Bác sĩ chuyên khoa 2 Huỳnh Tấn Vũ, Đơn vị Điều trị Ban ngày, Bệnh [...]
Apr
Bác sĩ chỉ ra 4 thói quen khiến da lão hóa nhanh chóng
Để duy trì vẻ ngoài trẻ trung, bên cạnh chế độ ăn uống và tập [...]
Apr
3 dấu hiệu cảnh báo cách giảm cân đang gây hại cho sức khỏe
Trong thực tế, nhiều người lựa chọn ăn kiêng khắc nghiệt, cắt giảm calo quá [...]
Apr
Bệnh nhân ung thư: ‘Tôi còn sống được bao lâu?’
Đầu tháng 4/2025, buổi tái khám định kỳ được kỳ vọng mang lại sự nhẹ [...]
Apr
Phá thai do lựa chọn giới tính bị phạt đến 30 triệu đồng
Đây là mức xử phạt cao nhất đối với hành vi phá thai do lựa [...]
Apr
7 triệu chứng âm thầm cảnh báo suy thận
Suy thận là tình trạng nghiêm trọng, xảy ra khi thận ngừng thực hiện các [...]
Apr
Phát triển du lịch y tế để ‘giữ chân’ bệnh nhân trong nước
Ngày 7-4, Liên minh Du lịch y tế Việt Nam chính thức được ra mắt, [...]
Apr
Uống nước cam hay ăn quả cam tốt hơn?
Cam là loại quả quen thuộc, dễ ăn và mang lại nhiều lợi ích cho [...]
Apr
Hai thợ lặn gãy xương, dập phổi trong vụ xe khách lao xuống vực
Trong đó, bệnh nhân 30 tuổi chấn thương nặng vùng đầu, ngực và tay. Ảnh [...]
Apr
Sản phụ U60 sinh đôi thành công
Ngày 7-4, Bệnh viện Phụ sản Hà Nội chia sẻ vừa mổ lấy thai thành [...]
Apr
Bệnh nhi 3 tháng tuổi sốc phản vệ nặng sau khi uống sữa công thức
Ngày 7-4, Bệnh viện Sản Nhi Vĩnh Phúc, tỉnh Phú Thọ cho biết đơn vị [...]
Apr
Người Việt bệnh tật nhiều do lối sống ‘nhà giàu’
Tại chuỗi sự kiện hưởng ứng Ngày Sức khỏe toàn dân 7/4, Bộ trưởng Y [...]
Apr
Ca ung thư vú tại Việt Nam tăng và trẻ hóa, làm sao phát hiện sớm, tránh bỏ sót?
Tại hội thảo quốc tế “Siêu âm vú 3D tự động (ABUS)” do Bệnh viện [...]
Apr
Sinh đôi ở tuổi 56
Ngày 7/4, bác sĩ Hà Cẩm Thương, Phó khoa Sản khoa tự nguyện Bệnh viện [...]
Apr
IZZI Dinomilk: Xu hướng thức uống dinh dưỡng cho trẻ
Khảo sát từ nhiều gia đình trẻ cho thấy, nhu cầu dinh dưỡng của trẻ [...]
Apr
Phó bí thư Thành ủy TP.HCM Nguyễn Phước Lộc đến Côn Đảo hưởng ứng Ngày Sức khỏe toàn dân
Tại buổi lễ, Bệnh viện Răng hàm mặt trung ương TP.HCM đã trao tặng thiết [...]
Apr
Khám cộng đồng, phát hiện nhiều người cần can thiệp sức khỏe tâm thần
Theo Hội Thầy thuốc trẻ Việt Nam, đã có hơn 7.800 lượt người được khám, [...]
Apr
Gần 100 y bác sĩ lập 4 phòng mổ lấy – ghép tạng cho 7 người
Ngày 7/4, đại diện Bệnh viện Việt Nam – Thụy Điển Uông Bí cho biết [...]
Apr
Nắng nóng hừng hực, có nên tắm ngay khi vừa về nhà?
Khi cơ thể vừa tiếp xúc với môi trường nhiệt độ cao, hệ tuần hoàn [...]
70% bệnh nhân ung thư phổi phát hiện muộn: Làm gì để phát hiện sớm?
Hưởng ứng Ngày Sức khỏe toàn dân 7-4, báo Sức Khỏe & Đời Sống phối [...]
Apr
Y bác sĩ gửi nhiều mong ước cho ngày Sức khỏe toàn dân
Tại Nghị quyết 72/NQ/TW ngày 9/9/2025 về một số giải pháp đột phá tăng cường [...]
Apr
7 cuộc đời được hồi sinh nhờ tạng hiến của nam thanh niên chết não
Ngày 7.4, thông tin từ Bệnh viện Việt Nam – Thụy Điển Uông Bí cho [...]
Apr
Phát hiện muộn – điểm nghẽn lớn nhất trong điều trị ung thư phổi
“Ung thư phổi hoàn toàn có thể điều trị hiệu quả nếu được phát hiện [...]
Apr
Đề cử: Takeda Việt Nam – Chiến dịch ‘Sốt xuất huyết Dengue: Sự thật từ tuyến đầu’
Takeda Việt Nam – Chiến dịch “Sốt xuất huyết Dengue: Sự thật từ tuyến đầu” [...]
Apr
Ngày Sức khỏe toàn dân 2026: Long Châu đồng hành Bộ Y tế lan tỏa tinh thần chủ động phòng bệnh
Chuỗi hoạt động hướng tới nâng cao nhận thức cộng đồng về chủ động phòng [...]
Apr
